SENSORY ORGANS: Stato-acoustic organ

Description
Figure 1. Semicircular canals, sagittal section
Figure 2. Crista in the ampulla of a semicircular canal (a)
Figure 3. Crista in the ampulla of a semicircular canal (b)
Figure 4. Macula within the utriculus (otolith chamber)


DESCRIPTION

The bilateral stato-acoustic organ or labyrinth, situated dorsal and lateral to the medulla oblongata, is completely embedded in cranial bone (Fig. 1). Each half of the labyrinth consists of three semicircular canals (oriented in horizontal, lateral, and longitudinal planes) and three otolith chambers (utriculus, sacculus, and lagena). Semicircular canals and the utriculus make up the dorsal pars superior responsible for maintaining spatial equilibrium and balance, while the sacculus-lagena complex make up the ventral pars inferior responsible for sound detection.

Semicircular canals are lined with simple squamous epithelium and filled with fluid endolymph which moves freely within the canal lumena. At their juncture with the utriculus the semicircular canals broaden into ampullae (fluid inertia-sensing chambers). Within each ampulla is a crista ampullaris lined with globular sensory epithelial cells and supporting a raised macula of sensory hair cells shrouded in a gelatinous cupula (Figs. 2 & 3). The cupula projects into the path of fluid within the canal. Movement of the fish induces an inertial lag in endolymph. The result is an apparent fluid movement within the canal in the opposite direction of the actual movement of the fish. Displacement of the cupula in the direction of the fluid movement causes a deflection of sensory hairs. Sensory cells communicate information regarding movement to the brain via the anterior portion of the VIIth cranial nerve.

Like semicircular canals, otolith chambers are lined with squamous epithelium and filled with endolymph. Maculae are flattened on the ventral surface of the chambers above which (and in contact with the sensory cell hairs) are suspended the otoliths (Fig. 4). Near field sound waves, which propagate as vibrations, cause water particle displacement. Fish subjected to these vibrations move to and fro in concert with the surrounding water particles. The comparative density of otoliths to surrounding endolymph (approx. 3:1) causes them to remain stationary relative to the side to side movement of the fish. The resulting deflection of hairs incites the sensory cells to send auditory information to the brain via the posterior portion of the VIIth cranial nerve.

Far field sound waves propagate through water as pressure waves. Since they do not generate particle movement these waves do not produce the to and fro movement necessary for otolith detection. Amplification of far field waves, however, occurs within the low density chambers of the gas bladder causing vibrations of the bladder wall. These vibrations are translated via the Weberian apparatus to the stato-acoustic organs. The neural processes of the four most anterior vertebrae are detached and develop independently from their centra to form the Weberian apparatus. These bones and associated ligaments provide a rigid connection between the anterior chamber of the gas bladder and the pars inferior (sacculus-lagena complex) of the stato-acoustic organ. Transduction of pressure waves to vibrations in the gas bladder and translation of these vibration to the pars inferior dramatically enhances auditory sensitivity.


 

 

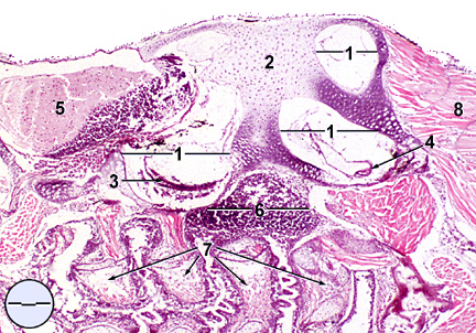
STATO-ACOUSTIC ORGAN: Semicircular canals of a 28-day old fish,
sagittal section

Figure 1. Semicircular canals of a 28-day old fish,sagittal section (Formalin, H&E,
Bar = 131 µm). 1. semicircular canals; 2. cranium; 3. macula; 4. crista ampullaris;
5. brain; 6. thymus; 7. gill arches; 8. skeletal muscle.

 

STATO-ACOUSTIC ORGAN: Crista in the ampulla of a
semicircular canal (a)

Figure 2. Crista in the ampulla of a semicircular canal (a)
(Bouins, H&E,
Bar = 31.6 µm). 1. ciliated sensory cells; 2. sustenticular supporting cells;
3. stalk of the crista ampullaris (connective tissue); 4. blood vessel;
5. cupula (gelatinous matrix); 6. globular sensory cells of the ampullar epithelium;
7. squamous epithelium; 8. lumen of the ampulla; 9. areolar connective tissue; 10. cranium.

 

STATO-ACOUSTIC ORGAN: Crista in the ampulla of a semicircular
canal (b)


Figure 3. Crista in the ampulla of a semicircular canal (b)
(Bouins, H&E,
Bar = 16.7 µm). 1. ciliated sensory cells; 2. sustenticular supporting cells;
3. stalk of the crista ampullaris (connective tissue); 4. cupula (gelatinous matrix);
5. globular sensory cells of the ampullar epithelium; 6. blood vessel.

 

STATO-ACOUSTIC ORGAN: Macula of the utriculus (otolith chamber)

Figure 4. Macula within the utriculus (otolith chamber)
(Bouins, H&E,
Bar = 36.4 µm). 1. ciliated sensory cells; 2. sustenticular cells; 3. connective tissue; 4. cupula
(gelatinous matrix); 5. globular sensory epithelium; 6. collagenous connective tissue;
7. otolith chamber; 8. cranium.

 

 [Back to Table of Contents]